Icono del sitio Revista Reporte MEDICO

Recinto de Ciencias Médicas cuenta con Centro de Imágenes único en el Caribe

Dr. Noel Aymat Santana, Rector del RCM

El Centro de Imágenes de La Clínica de la Escuela de Medicina del Recinto de Ciencias Médicas (RCM) cuenta con equipos de resonancia magnética (MRI) y tomografía computarizada (CT Scan) únicos en la región del Caribe.

“Estamos muy entusiasmados con el desarrollo de este moderno y único Centro de Imágenes. El RCM excede las expectativas en el ámbito de servicios, docencia e investigación con el desarrollo de facilidades de esta envergadura”, enfatizó el doctor Noel Aymat Santana, Rector del RCM. “Comprometidos con la excelencia, estamos desarrollando la Clínica para ofrecer a nuestros pacientes el mejor servicio, con el mejor equipo médico del País”.

La Clínica de la Escuela de Medicina invirtió aproximadamente $2.6 millones en el equipo y $1.4 millones en la remodelación de espacio para crear el Centro de Imágenes, ubicado en el centro comercial Reparto Metropolitano en la avenida Américo Miranda.

“La máquina MRI es la más avanzada que hay en Puerto Rico, el Caribe y Latinoamérica, ya que sólo existe otra de este tipo en Brasil”, señaló el licenciado Efraín Piñero, Director Ejecutivo de La Clínica de la Escuela de Medicina.

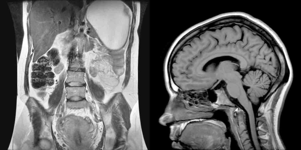
La tecnología envuelta en la máquina MRI permite hacer estudios avanzados de neuroimágenes, el corazón, las articulaciones y la columna vertebral, entre otras áreas del cuerpo. “Como el equipo tiene tecnología que es bien sofisticada, las imágenes que se producen son mucho mejores. Y en la radiología, mientras mayor sea la resolución de la imagen, mayor es tu capacidad de hacer un diagnóstico que sea preciso”, explicó el doctor Edgar Colón, Decano de la Escuela de Medicina.

En cuanto al equipo de CT Scan, su ventaja más grande es que da una dosis baja de radiación. “Eso es único en Puerto Rico. El paciente se expone mucho menos a la radiación que en otra máquina sin esa tecnología”, comentó Piñero. Esta característica es particularmente beneficiosa para pacientes que son niños o que tienen hacerse pruebas CT Scan varias veces al año, como los pacientes de cáncer. “Mientras más joven es el paciente, menor debe ser el nivel de radiación al que esté expuesto”, indicó Colón.

Apoyo para la investigación

La maquinaria del Centro de Imágenes también servirá para apoyar grandemente las investigaciones clínicas de la Escuela de Medicina del RCM. “Cuando tú tienes tecnología de vanguardia, puedes hacer investigación clínica que es de vanguardia, que otra gente no puede hacer”, añadió Colón.

Entre los planes de la Clínica, Piñero destacó que desean trabajar un currículo para que médicos, investigadores y tecnólogos del extranjero vengan a Puerto Rico a entrenar en el uso de esta tecnología del Centro de Imágenes. “Aparte de la mejor tecnología, contamos con la mejor facultad, especializada en las diferentes ramas de la radiología”, comentó el director ejecutivo de la Clínica.

Necesidad de servicios

El Centro de Imágenes está capacitado para atender 100 pacientes al día. Actualmente, la Clínica de la Escuela de Medicina atiende a 80,000 pacientes al año, y acepta todos los planes médicos, incluyendo la reforma.

“Hemos decido ampliar las facilidades y horarios de la Clínica de la Escuela de Medicina porque nuestros servicios son de mucha necesidad. Atendemos pacientes con condiciones crónicas en un lapso de tiempo más razonable para el paciente. Y el paciente tiene la ventaja de encontrar diversos especialistas y sub-especialistas en un mismo centro”, concluyó Piñero.

Salir de la versión móvil